Welcome to Omnimabs!
TEL: 02154156726 Info: info@Omnimabs.com CN
CYP11A1 Rabbit pAb
Catalog Number:OM643221
OM643221
Discount Price
OM643221-100ul
2~3 Week
100ul
OM643221-50ul
50ul
OM643221-20ul
20ul
2~3 Week
Product Profile
Product Name CYP11A1 Rabbit pAb
Antibody Type Primary Antibodies
Immunogen A synthetic peptide corresponding to a sequence within amino acids 40-320 of human CYP11A1 (NP_000772.2).
Key Feature
Clonality Polyclonal
Isotype IgG
Host Species Rabbit
Tested Applications IF-PIHCWB
WB:1:500-1:1000
IHC:1:50-1:200
IF-P:1:50-1:200
Species Reactivity HumanMouseRat
Concentration 1mg/ml
Purification Affinity purified
Target Information
Gene Symbol CYP11A1
Gene Synonyms CYP11A
CYPXIA1
P450SCC
Gene Full Name cytochrome P450 family 11 subfamily A member 1
Gene Summary This gene encodes a member of the cytochrome P450 superfamily of enzymes. The cytochrome P450 proteins are monooxygenases which catalyze many reactions involved in drug metabolism and synthesis of cholesterol, steroids and other lipids. This protein localizes to the mitochondrial inner membrane and catalyzes the conversion of cholesterol to pregnenolone, the first and rate-limiting step in the synthesis of the steroid hormones. Two transcript variants encoding different isoforms have been found for this gene. The cellular location of the smaller isoform is unclear since it lacks the mitochondrial-targeting transit peptide. [provided by RefSeq, Jul 2008]
Molecular Weight(MW) 60kDa(Observed MW 50kDa)
Cellular Localization Mitochondrion membrane.
Application

WB

Western blot analysis of various lysates using CYP11A1 Rabbit pAb at 1:800 dilution. Secondary antibody: HRP-conjugated Goat anti-Rabbit IgG (H+L) at 1:10000 dilution. Lysates/proteins: 25ug per lane. Blocking buffer: 3% nonfat dry milk in TBST. Detection: ECL Basic Kit. Exposure time: 90s.

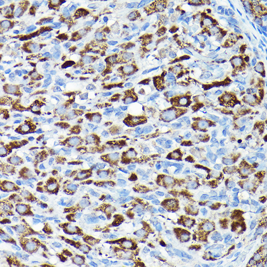
IHC

Immunohistochemistry analysis of paraffin-embedded Rat ovary using CYP11A1 Rabbit pAb at dilution of 1:200 (40x lens). High pressure antigen retrieval performed with 0.01M Citrate Bufferr (pH 6.0) prior to IHC staining.

IF-P

Immunofluorescence analysis of paraffin-embedded human placenta using CYP11A1 Rabbit pAb at dilution of 1:100 (40x lens). Secondary antibody: Cy3-conjugated Goat anti-Rabbit IgG (H+L) at 1:500 dilution. Blue: DAPI for nuclear staining.
Application Notes WB:1:500-1:1000
IHC:1:50-1:200
IF-P:1:50-1:200
Additional Information
Form Liquid
Storage Instructions Store at -20℃. Avoid freeze / thaw cycles.
Storage Buffer Buffer: PBS with 0.02% sodium azide,50% glycerol,pH7.3.
validation
question title
question detaiil
Verification code