Welcome to Omnimabs!
TEL: 02154156726 Info: info@Omnimabs.com CN
ZFHX2 Antibody (O-22)
Catalog Number:OM204194
OM204194
Discount Price
OM204194-100ul
1~2 Week
100ul
OM204194-50ul
50ul
OM204194-20ul
20ul
1~2 Week
Product Profile
Product Name ZFHX2 Antibody (O-22)
Antibody Type Primary Antibodies
Modification Notes Zinc-finger proteins contain DNA-binding domains and have a wide variety of functions, most of which encompass some form of transcriptional activation or repression. As a member of the Krüppel C2H2-type zinc-finger protein family, ZFHX2 (zinc finger homeobox 2) is a 862 amino acid protein containing six C2H2-type zinc fingers. Localized to the nucleus, ZFHX2 is thought to be involved in transcriptional regulation. The gene encoding ZFHX2 maps to chromosome 14, which contains about 700 genes and 106 million base pairs and makes up about 3.5% of human cellular DNA. Notably, the immunoglobulin heavy chain locus is found on chromosome 14 and has been identified as a fusion with the chromosome 19 encoded protein BCL3 in the (14;19) translocations found in a variety of B cell malignancies.
Key Feature
Clonality Polyclonal
Isotype IgG
Host Species Rabbit
Tested Applications WBIPIFIHCELISA
recommended for detection of ZFHX2 of human and canine origin by WB, IP, IF, IHC(P) and ELISA
Species Reactivity HumanMouseRat
Concentration 1mg/ml
Purification Affinity purified
Target Information
Alternative Names raised against ZFHX2 of human origin
Tissue Specificity raised against ZFHX2 of human origin
Application

Application

Western blot analysis of ZFHX2 expression in Jurkat whole cell lysate.

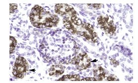
Application

Immunoperoxidase staining of formalin fixed, paraffin-embedded human kidney tissue showing cytoplasmic staining.
Application Notes recommended for detection of ZFHX2 of human and canine origin by WB, IP, IF, IHC(P) and ELISA
Additional Information
Form Liquid
Storage Instructions For short-term storage, store at 4° C. For long-term storage, aliquot and store at -20ºC or below. Avoid multiple freeze-thaw cycles.
Storage Buffer phosphate buffered saline , pH 7.4, 150mM NaCl, 0.02% sodium azide and 50% glycerol.
validation
question title
question detaiil
Verification code